Cruciate Surgery

Is your dog suddenly:
🐶Limping on their back leg? 

🐶Having trouble getting up after rest? 

🐶Hesitant to put weight on one leg or showing signs of knee pain during walks? 

Your dog may have torn their cranial cruciate ligament (CCL) - the most critical stabilizing structure in the canine knee. 

The CCL prevents forward thrusting motion and inward rotation of the tibia while bearing weight. When ruptured, it causes an unstable, painful knee and leads to debilitating degenerative arthritis if left untreated. 

Veterinary Urgent Care offers expert CCL repair with two proven procedures: the Modified Maquet Procedure (MMP) for most dog sizes and the mini-Tightrope repair for smaller patients. 

Don't let your dog suffer - early intervention prevents long-term joint damage and gets them back to their active life.

Cruciate Surgery

The most critical stabilizing structure in the canine knee is the cranial cruciate ligament (CCL). The primary function of the CCL is to prevent forward thrusting motion and inward rotation of the tibia white bearing weight (walking/running).

When the CCL is ruptured/torn this results in an unstable, painful knee and ultimately to degenerative arthritic changes in the knee joint which can be debilitating later in life.

We offer two types of procedures for repair of a ruptured canine ACL/CCL. For most sizes of dogs the procedure that is recommended is called Modified Maquet Procedure (MMP). For smaller canine patients, the mini-Tightrope repair will be recommended.

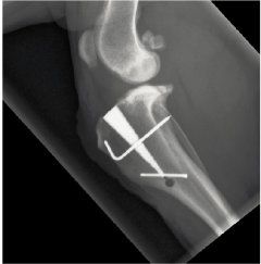
MMP ACL/CCL

The MMP CCL surgery redirects the force generated by the large quadriceps muscles to the patellar tendon to compensate for the failed cruciate ligament. This is achieved by moving forward the part of the tibia (the tibial tuberosity) attached to the quadriceps muscle. The patella tendon then acts in the same way that the previous CCL ligament did to stabilize the knee.

MMP Animated Surgical Video

We need your consent to load the translations

We use a third-party service to translate the website content that may collect data about your activity. Please review the details in the privacy policy and accept the service to view the translations.